Odontologia moderna no coração de José Bonifácio. Um novo conceito de cuidado para transformar o seu sorriso com total segurança e humanização.
"Devolver não apenas a estética, mas a saúde e a autoconfiança de cada paciente."
Com uma trajetória pautada pela ética e pelo aperfeiçoamento constante, a Dra. Victoria Camargo dedica-se a oferecer uma odontologia moderna e verdadeiramente humanizada. Graduada pela UNORTE em São José do Rio Preto, ela une ciência e sensibilidade em cada atendimento.
Tratamentos modernos com tecnologia de ponta e atendimento humanizado para toda a família.
Cuidado lúdico e especializado para crianças, incluindo Frenectomia pediátrica com segurança e acolhimento.
Endodontia moderna com alta precisão, eliminação total da dor e recuperação rápida.
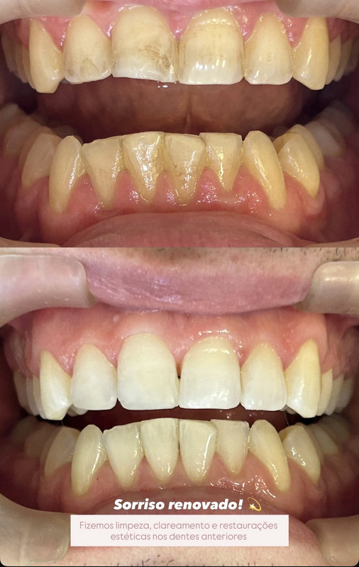
Lentes de contato, facetas e clareamento para o sorriso dos seus sonhos com total naturalidade.
Reabilitação oral completa com foco na função, estética e qualidade de vida do paciente.
Tecnologia de última geração aliada a um espaço acolhedor e humanizado.
Protocolos de esterilização e segurança seguidos com rigor absoluto.
Resultados que falam por si — cada sorriso é uma história de confiança e dedicação.
"Ótima profissional, recomendo de olhos fechados! Atendimento humanizado e impecável. A clínica é linda e cheirosa."
"Atendimento de qualidade e serviço perfeito. A Dra. Victoria é muito atenciosa com as crianças, meu filho amou."
Realizamos uma avaliação clínica profunda onde ouvimos suas queixas principais, fazemos o diagnóstico preciso e traçamos um plano de tratamento ético, transparente e personalizado para cada paciente.
Sim. Estamos preparados para atender dores agudas ou traumas dentários com prioridade absoluta dentro do nosso horário de funcionamento. Entre em contato pelo WhatsApp para agendamento imediato.
Sim! A Dra. Victoria é especializada em Odontopediatria, com um atendimento lúdico e acolhedor que transforma a experiência odontológica das crianças em algo positivo e sem medo.
Atendemos de segunda a sexta-feira das 08:00 às 12:00 e das 13:30 às 17:30. Sábados e domingos estamos fechados. Fale conosco pelo WhatsApp ou pelo telefone fixo (17) 3245-2792.